| Contents | Amount | Cat. No. | Storage |
| hPSC Nucleofection Buffer | 2.5 mL | RP01005 |
|
- Overview
- Citation
-
Shownin hiPSC/hESC Nucleofection Buffer (RP01005) is a solution specifically developed for electroporation of undifferentiated human pluripotent stem cells (iPSC, ESC) cultured in various medium system. It ensures stable and high transfection efficiency, maintains a high cell survival rate post-transfection, is non-toxic to cultured cells and has no impact on downstream experiments. It serves as the ideal solution for transfecting human pluripotent stem cells (iPSC, ESC).
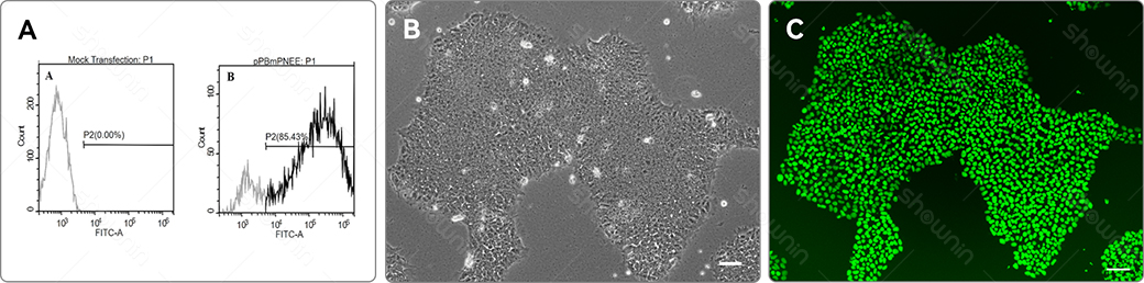
Cell morphology and identification

A: 2 μg of pPBmPNEE plasmid (~6.5kb) expressing EGFP was electroporated into hiPSCs, and flow cytometry was used to assess EGFP-positive cells 24 hours after transfection. The transfection efficiency was as high as 85.43%.
B, C: Day3 hiPSC-Luc-GFP (P32) cells. Scale bar: 200μm.
Related products





